Wednesday  20/04/2011/2011 Issue 14083

الاربعاء 16 جمادى الأول 1432  العدد  14083

  
   

الأخيرة

منوعات

دوليات

الرياضية

الأقتصادية

محليات

الأولى

الرئيسية

 
 
 
 

محليــات

 

عبر القسطرة التداخلية بالقصيم
توسيع الشريان «الأورطي» لطفل

رجوع

 

 

 

 

 

 

 

 

 

بريدة - ناصر الفهيد

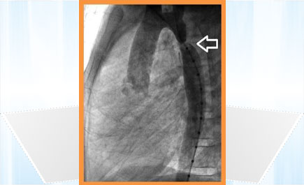
تمكن فريق طبي في مركز الأمير سلطان لطب وجراحة القلب في القصيم من إنهاء معاناة طفل في العاشرة من العمر كان يعاني من تضيق شديد في الشريان الأبهر «الأورطي»، وذلك عبر إجراء عملية توسيع للشريان المتضيّق عبر القسطرة العلاجية التداخلية، ومن ثم زراعة دعامة بمقاس مناسب أعادت الشريان «الأورطي» إلى حالته الطبيعية، مما ساهم في تجنيب الطفل جراحة القلب المفتوح، وقد خرج الطفل من المركز في نفس اليوم وهو بحال صحية جيدة، وتعد هذه العملية هي الأولى التي تجري في منطقة القصيم.

 

رجوع

طباعةحفظ 

 
 
 
للاتصال بناجريدتيالأرشيفالإشتراكاتالإعلاناتمؤسسة الجزيرة