Sunday  17/04/2011/2011 Issue 14080

الأحد 13 جمادى الأول 1432  العدد  14080

  
   

الأخيرة

منوعات

دوليات

الرياضية

الأقتصادية

محليات

الأولى

الرئيسية

 
 
 
 

الاقتصادية

 

استئصال ورمين كبيرين من بطن ثلاثينية بمجموعة الحبيب

رجوع

 

 

 

 

 

 

 

 

 

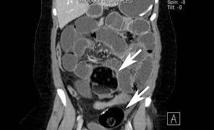
شهدت مجموعة د.سليمان الحبيب الطبية بالعليا إجراء عملية جراحية لاستئصال ورمين سرطانيين كبيرين قطر الأول 25 سم والثاني 15 سم في البطن لمريضة تبلغ من العمر 30 عاماً كانت تعاني من انسداد كامل بالأمعاء الدقيقة وآلام حادة واستفراغ وصعوبة في الإخراج لعدة أسابيع.

وقد راجعت المريضة عدة مراكز علاجية من قبل ولكن دون جدوى.

أوضح ذلك الدكتور ناصر الخاطر استشاري الجراحة العامة الحاصل على الزمالة البريطانية والكندية في الجراحة، وأضاف أنه بعد إجراء الفحوصات الدقيقة وإجراء الأشعة الملونة C.T. Scan للبطن تم التعرف على نوعية ومكان الورمين بدقة متناهية. ومن ثم دراسة حالة المريضة الصحية.

إثر ذلك تم اتخاذ قرار العملية الفوري لإنهاء معاناتها حيث تم إجراء عملية استكشاف للبطن (Explorotomy Laparotomy) وتم تحديد الورمين (Teratomas) وهو من النوع السرطاني الجنيني علاوة على رؤية الالتفاف الكامل للأمعاء الدقيقة حول الورمين مما أدى لانسدادها.

وأضاف د. الخاطر أنه تم استئصال الورمين كاملين بنجاح تام ولله الحمد وإجراء عملية إصلاح وتسليك لمجرى الأمعاء خلال ساعة ونصف. مشيراً إلى أن المريضة مكثت عدة أيام وخرجت بعدها من المستشفى وانتهت لديها كافة الأعراض السابق ذكرها.

 

رجوع

طباعةحفظ 

 
 
 
للاتصال بناجريدتيالأرشيفالإشتراكاتالإعلاناتمؤسسة الجزيرة