Al-jazirah daily newspaper

ارسل ملاحظاتك حول موقعناWednesday 20/03/2013 Issue 14783 14783 الاربعاء 08 جمادى الأول 1434 العدد

الأخيرة

منوعات

دوليات

الرياضية

الأقتصادية

محليات

الأولى

الرئيسية

متابعة

في حالة نادرة طبياً
إزالة حصوتين لأربعينية لديها 4 حوالب بـ«الحبيب» بالتخصصي

رجوع

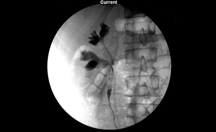
تمكن فريق جراحة المسالك البولية بمستشفى الدكتور سليمان الحبيب بالتخصصي من تشخيص وعلاج حالة طبية نادرة لمريضة تبلغ من العمر 45 عاماً تعاني من وجود حصوات بالحالب وأثناء إجراء الفحص الدقيق تبين أن لديها حالبين في الجهة اليمنى وآخرين في الجهة اليسرى Duplicated Ureter خلافاً لما هو معروف بأن الشخص الطبيعي يكون لديه حالبان فقط واحد بالجهة اليمنى والآخر باليسرى.

ذكر ذلك الدكتور علي الجعفر استشاري أمراض المسالك البولية الحاصل على الزمالة الألمانية في جراحة الكلى والمسالك البولية ورئيس الفريق الجراحي المعالج، وأضاف بأن المريضة كانت تعاني لعدة أشهر من آلام حادة متقطعة وبعد التشخيص بالفحوصات المخبرية والأشعة الطبقية المحورية (C.T. Scan) تبين وجود حصوتين في كل حالب بالجهة اليمنى يتراوح حجمهما بين (4 إلى 6) ملم.

وأفاد د. الجعفر بأنه تم دراسة حالة المريضة جيداً ووضع خطة علاجية تقتضي عمل منظار للحالب Ureteroscopy لتفتيت إحدى الحصوات بالليزر (Laser Lithotripsy)

أما الحصوة الموجودة بالحالب الآخر فتم التعامل معها بوضع «أنبوب» داخلي يعمل على توسيع الحالب وذلك لتضيقه الشديد مع الحفاظ على عدم انسداده مرة أخرى لضمان نزول البول من حوض الكلية إلى المثانة، بالإضافة إلى تفتيت الحصوة عن طريق استخدام تقنيات الموجات التصادمية (ESWL).

وفي الختام قال الدكتور علي الجعفر استشاري المسالك البولية إن العملية أجريت بنجاح تام ولله الحمد واختفت الآلام نهائياً واستطاعت المريضة أن تمارس حياتها بصورة طبيعية، مؤكداً أنه لا داعي لإزالة الحالبين الزائدين لعدم وجود أي ضرر منهما.

رجوع

حفظ

للاتصال بناالأرشيفالإشتراكاتالإعلاناتمؤسسة الجزيرة